La chirurgia ortopedica è la specialità che diagnostica e tratta le patologie di ossa, articolazioni, tendini, legamenti e muscoli. Nel mio lavoro combino approcci mini-invasivi, protocolli di recupero rapido e follow-up strutturati. L’obiettivo è ridurre il dolore e riportare funzionalità in modo sicuro e misurabile.
Attività clinica, chirurgica e di ricerca
Che cos’è
la chirurgia ortopedica
Questo ambito comprende numerose condizioni dell’apparato muscolo-scheletrico. In molti casi la chirurgia ortopedica permette di recuperare movimento e di attenuare il dolore. Il percorso viene personalizzato in base a diagnosi, età, attività e obiettivi del paziente.
Punti essenziali della chirurgia ortopedica
1. Obiettivi principali
- Ripristinare la funzionalità di ossa, articolazioni, legamenti, tendini e muscoli.
- Alleviare il dolore in tempi rapidi.
- Migliorare la qualità della vita del paziente.
2. Aree di intervento
- Chirurgia dell’anca
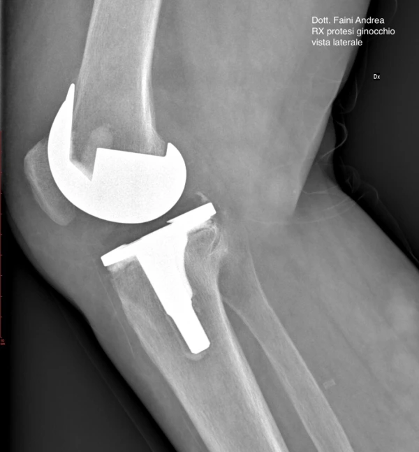
- Chirurgia del ginocchio
- Chirurgia della mano
- Chirurgia della spalla, gomito, polso, caviglia e piede.
- Chirurgia pediatrica e oncologica ortopedica.
3. Tecniche di chirurgia ortopedica
- Artroscopia: accesso mini-invasivo con artroscopio tramite piccole incisioni.
- Osteotomia: taglio e riallineamento dell’osso.
- Artroplastica: sostituzione protesica di un’articolazione.
- Neurolisi / Neurotomia: decompressione o sezione selettiva di un nervo.
- Tenolisi / Tenorrafia: liberazione dei tendini o sutura in caso di lesione.
4. Condizioni trattate con chirurgia ortopedica
- Fratture e traumatismi.
- Malattie degenerative (es. artrosi).
In pratica, il piano terapeutico viene definito insieme al paziente e modulato nel tempo.
Approfondisci: chirurgia ortopedicaAggiornamenti e linee guida su Società Italiana di Ortopedia e Traumatologia (SIOT).
Su di me
Andrea
Faini
Chirurgo Ortopedico, laureato in Medicina e Chirurgia e specialista in Ortopedia e Traumatologia. Mi occupo di chirurgia dell’anca e del ginocchio, con ultraspecializzazione nella protesica di primo impianto e di revisione.
Tratto anche chirurgia della mano (neurolisi endoscopica) e spasticità.
Ogni anno eseguo circa 450 interventi, con percorsi di riabilitazione integrata e follow-up strutturati.
Leggi il profilo completo: Dr. Andrea Faini.
Prenota una visita di chirurgia ortopedica
Vedi
News
e approfondimenti
Cosa
Dicono
alcuni campioni
Per anni, Violetta Piergiacomi ha vissuto con un dolore invalidante al polso, impedendole di compiere esercizi più semplici e di poter proseguire i suoi allenamenti. Dopo varie visite le avevano tolto speranza e serenità alle sue giornate.
Eppure è bastata una visita del tutto inaspettata per dire che “Il dottore si è mostrato serio, competente e in pochi minuti mi ha consigliato subito come risolvere il problema…. “
leggiSegui
Prenota
e visitami su
Leggi
Altre
testimonianze
Puntualita,’ visita accurata, spiegazioni dettagliate, persona gentile ed affabile. Mi sono trovato a mio agio. Consigliato
Dottore molto disponibile che riesce a metterti a tuo agio. Eseguito intervento al tunnel carpale in endoscopia di entrambe le mani contemporaneamente con buonissimo risultato finale.
Nel frattempo, il dottor Faini mi ha operato entrambe le mani per il tunnel carpale. …. Per farlo, ha usato l’endoscopia (tramite un piccolo foro). In questo modo, la ferita è minima e il recupero è super veloce. Sono riuscito a tornare al lavoro al computer lo stesso giorno …
