Abstract
Introduzione.
La lussazione rotulea rappresenta una delle principali cause di instabilità femoro-rotulea, in particolare nella popolazione giovane e sportivamente attiva. Si tratta di una condizione multifattoriale, influenzata da fattori anatomici, biomeccanici e traumatici, con un rischio significativo di recidiva dopo il primo episodio.
Obiettivo.
Fornire una revisione narrativa sull’instabilità e la lussazione rotulea, analizzandone i principali fattori predisponenti, il ruolo dell’imaging, le opzioni di trattamento conservativo e chirurgico e i risultati clinici riportati in letteratura.
Metodi.
Revisione della letteratura scientifica recente relativa alla lussazione rotulea e all’instabilità femoro-rotulea, includendo studi clinici, revisioni sistematiche e linee guida internazionali. Il contenuto è organizzato secondo un approccio clinico-progressivo, dalla prima lussazione alle forme ricorrenti.
Risultati.
Le evidenze disponibili indicano che la prima lussazione rotulea può essere gestita in molti casi in modo conservativo, mentre le forme recidivanti o associate a significative alterazioni anatomiche possono beneficiare di un trattamento chirurgico mirato. L’imaging riveste un ruolo centrale nella stratificazione del rischio e nella pianificazione terapeutica.
Conclusioni.
La lussazione rotulea non deve essere considerata un evento isolato, ma l’espressione di un disturbo di instabilità complesso. Un corretto inquadramento clinico e diagnostico è essenziale per impostare un trattamento appropriato e ridurre il rischio di recidiva e di danno articolare a lungo termine.
Introduzione
La lussazione rotulea è una condizione relativamente frequente, soprattutto in età adolescenziale e nei giovani adulti, e rappresenta una delle principali cause di instabilità dell’articolazione femoro-rotulea. Nella maggior parte dei casi l’evento iniziale è traumatico, spesso correlato ad attività sportiva, ma il verificarsi della lussazione è generalmente favorito dalla presenza di fattori predisponenti anatomici e biomeccanici.
Alterazioni dell’allineamento dell’arto inferiore, displasia trocleare, aumentata distanza tibial tuberosity–trochlear groove (TT–TG), patella alta e insufficienza dei stabilizzatori mediali, in particolare del legamento patello-femorale mediale (MPFL), giocano un ruolo determinante nel rischio di lussazione e di recidiva.
Il corretto inquadramento della lussazione rotulea richiede una valutazione integrata che comprenda anamnesi, esame clinico e imaging. La distinzione tra primo episodio e instabilità ricorrente è fondamentale, poiché le strategie terapeutiche e la prognosi differiscono in modo significativo. In particolare, il rischio di recidiva dopo una prima lussazione può essere elevato nei pazienti con fattori anatomici predisponenti non riconosciuti.
Scopo di questo articolo è analizzare in modo sistematico la lussazione e l’instabilità rotulea, al ruolo dell’imaging e alle indicazioni al trattamento conservativo o chirurgico.
Anatomia e biomeccanica dell’articolazione femoro-rotulea
Dal punto di vista funzionale, la rotula agisce come una puleggia che aumenta il braccio di leva del muscolo quadricipite, migliorando l’efficienza dell’estensione del ginocchio. Questo ruolo biomeccanico comporta però l’esposizione a forze significative, soprattutto durante attività dinamiche come corsa, salto e cambi di direzione.
Componenti ossee e allineamento
La stabilità ossea della rotula dipende dalla morfologia della troclea femorale. In condizioni normali, la troclea presenta una concavità adeguata che guida il corretto centraggio rotuleo durante la flessione del ginocchio. Nelle forme di displasia trocleare, la ridotta profondità o l’asimmetria della troclea compromettono il contenimento osseo, aumentando il rischio di instabilità.
Altri fattori ossei rilevanti includono:
- patella alta, che ritarda l’ingaggio della rotula nella troclea
- alterazioni dell’asse dell’arto inferiore
- aumento della distanza tra tuberosità tibiale e solco trocleare (TT–TG)
Questi elementi concorrono a modificare la traiettoria della rotula e a incrementare le forze di traslazione laterale.
Stabilizzatori statici e dinamici
Nei primi gradi di flessione del ginocchio, la stabilità della rotula è affidata prevalentemente ai tessuti molli. Tra questi, il legamento patello-femorale mediale (MPFL) rappresenta il principale stabilizzatore statico contro la traslazione laterale della rotula.
La lesione del MPFL è quasi costantemente associata al primo episodio di lussazione rotulea e contribuisce in modo significativo al rischio di recidiva se non adeguatamente compensata dai restanti stabilizzatori.
Gli stabilizzatori dinamici sono rappresentati principalmente dal muscolo quadricipite, in particolare dal vasto mediale obliquo (VMO), il cui corretto timing di attivazione contribuisce al controllo del tracking rotuleo. Alterazioni della funzione muscolare possono amplificare l’instabilità in presenza di fattori anatomici predisponenti.
Biomeccanica della lussazione rotulea
La lussazione rotulea avviene più frequentemente in estensione o nei primi gradi di flessione del ginocchio, quando il contributo di contenimento osseo della troclea è minimo. In questa fase, una combinazione di forze di valgo, rotazione esterna della tibia e contrazione del quadricipite può determinare la fuoriuscita laterale della rotula.
Questo meccanismo spiega perché:
- il primo episodio è spesso traumatico
- le recidive possono verificarsi anche in assenza di traumi significativi
- il rischio aumenta in presenza di fattori anatomici predisponenti non corretti
Classificazione dell’instabilità e della lussazione rotulea
Dal punto di vista clinico, è possibile distinguere l’instabilità rotulea in base alla modalità di esordio e alla frequenza degli episodi.
Prima lussazione rotulea
La prima lussazione rotulea è generalmente un evento traumatico acuto, frequentemente associato ad attività sportiva o a movimenti di torsione del ginocchio in estensione o lieve flessione. In molti casi rappresenta il primo segnale clinico di una predisposizione anatomica sottostante, precedentemente asintomatica.
Dal punto di vista clinico, il primo episodio può essere associato a:
- dolore acuto e impotenza funzionale
- versamento articolare
- lesioni osteocondrali
- lesione del legamento patello-femorale mediale (MPFL)
La gestione della prima lussazione richiede un’attenta valutazione dei fattori di rischio anatomici e del danno associato,.
Lussazione rotulea recidivante
Si parla di lussazione rotulea recidivante in presenza di due o più episodi di lussazione. In questi casi, il ruolo dei fattori predisponenti anatomici diventa predominante rispetto all’evento traumatico iniziale.
I pazienti con instabilità recidivante presentano spesso:
- displasia trocleare
- patella alta
- aumento della distanza TT–TG
- insufficienza cronica del MPFL
In questo contesto, il trattamento conservativo isolato tende a mostrare risultati limitati, e la valutazione per un trattamento chirurgico mirato diventa frequentemente indicata.
Instabilità rotulea cronica o abituale
L’instabilità rotulea cronica è caratterizzata da episodi ripetuti di sublussazione o sensazione di “cedimento” della rotula, talvolta anche in assenza di una vera e propria lussazione completa. In queste forme, la sintomatologia può essere meno eclatante ma più persistente e invalidante nel tempo.
Questo quadro è spesso associato a:
- alterazioni anatomiche multiple
- adattamenti biomeccanici patologici
- progressivo danno cartilagineo femoro-rotuleo
La gestione dell’instabilità cronica richiede un approccio globale e personalizzato, basato su un’accurata analisi anatomica e funzionale.
Ruolo dell’imaging nella lussazione rotulea
L’imaging riveste un ruolo centrale nell’inquadramento diagnostico dell’instabilità e della lussazione rotulea, sia dopo il primo episodio sia nelle forme recidivanti o croniche. La sua funzione principale non è soltanto confermare l’avvenuta lussazione, ma soprattutto identificare i fattori anatomici predisponenti, valutare le lesioni associate e guidare le scelte terapeutiche.
Radiografia standard
La radiografia convenzionale rappresenta il primo livello di imaging nella valutazione dell’instabilità rotulea. Le proiezioni standard del ginocchio consentono di:
- escludere fratture associate
- valutare l’altezza rotulea
- analizzare l’allineamento femoro-rotuleo
- identificare segni indiretti di displasia trocleare
La radiografia è particolarmente utile come esame iniziale e nel follow-up, ma presenta limiti nella valutazione delle strutture dei tessuti molli e delle lesioni cartilaginee.
Risonanza magnetica (RM)
La risonanza magnetica rappresenta l’esame di riferimento nella valutazione della lussazione rotulea, soprattutto dopo il primo episodio. La RM consente una valutazione completa delle strutture ossee e dei tessuti molli, fornendo informazioni essenziali per la stratificazione del rischio di recidiva.
In particolare, la RM permette di:
- identificare la lesione del legamento patello-femorale mediale (MPFL)
- valutare la morfologia della troclea femorale
- analizzare la cartilagine femoro-rotulea
- rilevare eventuali lesioni osteocondrali
La presenza di lesioni associate o di significativi fattori anatomici predisponenti può modificare in modo sostanziale l’approccio terapeutico.
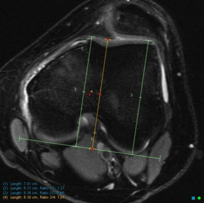
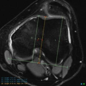
Valutazione dei parametri anatomici
Attraverso l’imaging, in particolare RM e TC nei casi selezionati, è possibile misurare parametri chiave nella valutazione dell’instabilità rotulea, tra cui:
- altezza rotulea
- distanza tibial tuberosity–trochlear groove (TT–TG)
- profondità e forma della troclea femorale
- allineamento complessivo dell’arto inferiore
Questi parametri consentono di distinguere le forme prevalentemente traumatiche da quelle a base costituzionale e di pianificare eventuali trattamenti chirurgici correttivi.
Tomografia computerizzata (TC)
La TC trova indicazione in casi selezionati, soprattutto quando è necessario uno studio accurato dei rapporti ossei o una pianificazione chirurgica dettagliata. Sebbene comporti un’esposizione a radiazioni ionizzanti, la TC può fornire informazioni utili sulla morfologia trocleare e sull’allineamento rotuleo in condizioni dinamiche specifiche.
Integrazione clinico-radiologica
È fondamentale sottolineare che nessun reperto radiologico, isolatamente considerato, è sufficiente a definire l’indicazione terapeutica. L’imaging deve essere interpretato alla luce della storia clinica del paziente, della frequenza degli episodi di instabilità e dell’impatto funzionale della patologia.
Un uso appropriato dell’imaging consente di evitare sia il sottotrattamento delle forme a elevato rischio di recidiva, sia il sovratrattamento di episodi isolati.
Indicazioni chirurgiche nella lussazione rotulea
L’indicazione chirurgica non dipende dal singolo episodio di lussazione, bensì dal rischio di recidiva e dall’impatto funzionale della patologia sul paziente.
L’obiettivo della chirurgia non è semplicemente prevenire nuovi episodi di lussazione, ma ristabilire un equilibrio biomeccanico dell’articolazione femoro-rotulea, correggendo i fattori predisponenti identificati.
Indicazioni dopo il primo episodio di lussazione
Nel primo episodio di lussazione rotulea, il trattamento è generalmente conservativo. Tuttavia, esistono situazioni specifiche in cui un’indicazione chirurgica precoce può essere presa in considerazione.
Tra queste:
- presenza di lesioni osteocondrali significative
- instabilità persistente nonostante una riduzione corretta
- evidenza di fattori anatomici maggiori associati ad alto rischio di recidiva
- pazienti giovani e sportivamente attivi con elevata richiesta funzionale
In questi casi, la decisione chirurgica deve essere attentamente ponderata e condivisa con il paziente, valutando rischi e benefici di un intervento precoce rispetto a un approccio conservativo iniziale.
Indicazioni nelle forme recidivanti
La lussazione rotulea recidivante rappresenta l’indicazione chirurgica più frequente. La presenza di episodi multipli è spesso espressione di un’instabilità strutturata, sostenuta da alterazioni anatomiche persistenti.
Le indicazioni chirurgiche nelle forme recidivanti includono:
- fallimento del trattamento conservativo
- documentata instabilità clinica
- presenza di displasia trocleare, patella alta o aumento della distanza TT–TG
- insufficienza cronica del legamento patello-femorale mediale (MPFL)
Principi generali del trattamento chirurgico
La chirurgia dell’instabilità rotulea non è un intervento “unico”, ma un insieme di possibili procedure che devono essere selezionate in base al profilo anatomico e funzionale del paziente. I principi generali includono:
- ripristino degli stabilizzatori mediali
- correzione delle alterazioni dell’allineamento
- ottimizzazione del tracking rotuleo
La ricostruzione del legamento patello-femorale mediale (MPFL) rappresenta una delle procedure più frequentemente utilizzate, ma non deve essere considerata universale o sufficiente in presenza di significative alterazioni ossee non corrette.
Risultati e prognosi
Prognosi dopo il primo episodio di lussazione
Dopo una prima lussazione rotulea, molti pazienti ottengono un buon recupero funzionale con trattamento conservativo, soprattutto in assenza di fattori anatomici predisponenti significativi. Tuttavia, il rischio di recidiva non è trascurabile e varia ampiamente in base al profilo del paziente.
La letteratura indica che:
- il rischio di recidiva è più elevato nei pazienti giovani
- la presenza di displasia trocleare, patella alta o aumento della distanza TT–TG peggiora la prognosi
- lesioni associate, in particolare cartilaginee, possono influenzare negativamente l’outcome a lungo termine
In questi casi, il primo episodio non deve essere considerato un evento benigno isolato, ma un possibile indicatore di instabilità sottostante.
Risultati nelle forme recidivanti
Nelle forme di lussazione rotulea recidivante, i risultati del trattamento conservativo tendono a essere meno soddisfacenti, soprattutto quando sono presenti alterazioni anatomiche non corrette. La persistenza dell’instabilità può portare a limitazioni funzionali, riduzione dell’attività sportiva e progressivo danno cartilagineo femoro-rotuleo.
Il trattamento chirurgico, quando correttamente indicato e personalizzato, mostra in generale buoni risultati in termini di:
- riduzione degli episodi di lussazione
- miglioramento della stabilità soggettiva
- recupero della funzione articolare
È tuttavia importante sottolineare che la chirurgia non elimina completamente il rischio di sintomi residui o di complicanze, e i risultati dipendono in modo significativo dalla corretta indicazione e dall’esecuzione tecnica.
Ruolo della riabilitazione nel risultato finale
Indipendentemente dal trattamento adottato, la riabilitazione riveste un ruolo determinante nei risultati a medio e lungo termine. Un programma riabilitativo mirato, volto al recupero della forza muscolare, del controllo neuromuscolare e della propriocezione, è essenziale per ottimizzare la stabilità femoro-rotulea.
Una riabilitazione inadeguata o incompleta può compromettere l’esito del trattamento, anche in presenza di una correzione chirurgica tecnicamente corretta.
Prognosi a lungo termine
Nel lungo periodo, la prognosi della lussazione rotulea è influenzata dal numero di episodi, dalla presenza di danno cartilagineo e dalla persistenza di fattori biomeccanici sfavorevoli. Le forme non trattate o trattate in modo inappropriato possono evolvere verso dolore femoro-rotuleo cronico e degenerazione articolare precoce.
Al contrario, un corretto inquadramento iniziale e una gestione personalizzata consentono nella maggior parte dei casi un buon controllo dei sintomi e un soddisfacente livello funzionale nel tempo.
Conclusioni
Un corretto inquadramento della patologia richiede una valutazione sistematica che integri anamnesi, esame clinico e imaging, con l’obiettivo di identificare i fattori predisponenti e stimare il rischio di recidiva. La distinzione tra primo episodio, forme recidivanti e instabilità cronica è fondamentale per orientare le scelte terapeutiche ed evitare sia il sottotrattamento sia il ricorso precoce a soluzioni chirurgiche non necessarie.
Il trattamento conservativo mantiene un ruolo centrale nella gestione della prima lussazione rotulea e nelle forme a basso rischio, mentre la chirurgia trova indicazione nei casi selezionati, in particolare in presenza di instabilità recidivante o di significative alterazioni anatomiche. In questo contesto, l’approccio chirurgico deve essere personalizzato e finalizzato al ripristino dell’equilibrio biomeccanico dell’articolazione femoro-rotulea, piuttosto che alla semplice prevenzione di nuovi episodi di lussazione.
I risultati clinici e la prognosi dipendono in larga misura dalla correttezza dell’indicazione terapeutica, dalla qualità del percorso riabilitativo e dalla collaborazione del paziente. Una gestione strutturata e consapevole consente nella maggior parte dei casi un buon controllo dei sintomi e un soddisfacente recupero funzionale nel medio e lungo termine.
Bibliografia e fonti
- The Journal of Bone & Joint Surgery
– Articoli e revisioni su instabilità femoro-rotulea e lussazione rotulea. - European Society of Sports Traumatology, Knee Surgery & Arthroscopy (ESSKA)
– Raccomandazioni e consensus su patologie femoro-rotulee. - American Academy of Orthopaedic Surgeons (AAOS)
– Linee guida e position statement su instabilità del ginocchio. - Knee Surgery, Sports Traumatology, Arthroscopy
– Studi clinici e revisioni su lussazione rotulea e trattamento chirurgico. - PubMed
– Database biomedico per la letteratura scientifica internazionale.
